Почему в голове болячки. Видео: Причины зуда
Почему в голове болячки. Видео: Причины зуда
Почему у некоторых людей появляются болячки на голове, которые постоянно чешутся, вызывают сильнейшее раздражение кожи и психологический дискомфорт? С чем это связано и как избавиться от неприятных корок голове?
На самом деле причин, которые провоцируют сильный зуд, интенсивное выпадение волос, головы достаточно много. Истинную причину найти может только грамотный трихолог при обследовании. Однако есть случаи, которые чаще всех встречаются на практике врачей. Именно они вызывают раздражение и болячки на голове. С некоторыми заболеваниями можно справиться даже в домашних условиях.
Виновником появления на голове болячки или корочек может стать себорея. Причина кроется в избыточном солообразовании и нарушении состава сального секрета. Зачастую себорея вызывает шелушение, зуд, болезненные язвочки. Себорейный дерматит, как правило - хроническое заболевание, самостоятельно от него избавиться сложно.
Обычно лечение длится несколько месяцев. Потребуются не только лечебные и лосьоны, а также иммуномодуляторы, медикаментозные препараты и специальная диета, которая подразумевает исключение из рациона соленого, сладкого, острого и жирного.
Чтобы полностью справиться с последствиями себореи: болячками, зудом и раздражением, трихологи настоятельно рекомендуют поменьше нервничать, избегать стрессовых ситуаций и гормональных колебаний - все это только способствует понижению иммунитета.
Следующая причина - аллергия на средства по уходу за волосами (шампунь, маски, бальзам, краска для волос). Также частая смена шампуней может вызывать: шелушение, выпадение волос, зуд. В этом случае необходимо либо вернуться к проверенному моющему средству либо приобрести нейтральный шампунь без содержания лаурил- или лауретсульфата натрия.
Если это не помогло избавиться от негативных последствий, лучше обратиться за помощью к дерматологу или трихологу. Возможно, придется сделать тесты на выявление аллергических реакций. Если запустить проблему, то из-за постоянного раздражения и расчесывания могут образоваться болячки на голове.
Четвертая причина - сухость головы. Часто именно из-за недостаточной выработки сального секрета, кожа головы начинает шелушиться, волосы становятся ломкими и обезвоженными.
Чтобы избавиться от этой проблемы, необходимо мыть голову увлажняющими шампунями, обязательно пользоваться бальзамами и питательными масками. Иногда сухость появляется из-за нехватки микроэлементов, витаминов, полиненасыщенных жирных кислот. Рекомендуется употреблять продуты, содержащие необходимые витамины.
Грибковые заболевания одна из частых причин появления неприятных ощущений на коже головы. Еслиболячки на голове чешутся и воспаляются, потребуется комплексное и продолжительное лечение. Врач-дерматолог пропишет вам аптечные шампуни, в состав которых входят противогрибковые компоненты: пироктоноламин, климбазол и др.
Можно использовать шампуни, содержащие натуральные ингредиенты, такие как масло чайного дерева, ромашка, календула. Как правило, курс лечения также включает лекарственные препараты и средства, повышающие иммунную систему.
Будьте бдительны и следите за своим здоровьем. При появлении болячки на голове или шелушащихся корочек незамедлительно обращайтесь к врачу. За этими симптомами может скрываться серьезное заболевание.
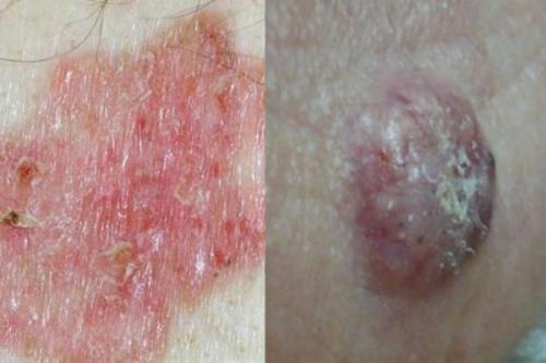
Маленькие бугорки на коже головы. Злокачественные
Данная категория новообразований на коже зачастую появляется путем перерождения доброкачественного нароста в злокачественный. Такие наросты требуют незамедлительного выявления и избавления от них.
Меланома

Новообразование возникающее вследствие некорректного удаления родинки (невуса) или ее перерождение в злокачественную форму. Меланома − разновидность рака кожи. Протекает заболевание очень агрессивно, быстро распространяется по кожному покрову. Такая опухоль очень скоро дает метастазы по всему организму, во внутренние органы и даже в головной мозг.
Если вовремя принять меры комплекса химическо-лучевой терапии, можно замедлить или избежать развития рака.
Базалиома

Плоскоклеточный рак кожи, который формируется из клеток базального слоя эпидермиса, в виде плоских поодиноких гнойных ранок. Маленькие узловые ранки-опухоли быстро прогрессируют и перерастают в грибовидные язвенные наросты. Чаще всего ранки появляются на лице, поражаются щеки, крылья носа, область за ушами и уши, нижнее веко. Данный вид рака не дает метастаз во внутренние органы и не сильно расходится по кожному покрову.
При своевременном выявлении, лечении или иссечении происходит полное удаление язвочек и регенерация кожи.
Саркома Капоши

Злокачественное новообразование на коже в виде обширных темных пятен (от цвета сгустков закипевшей крови до черного), которые сливаются в большие зоны поражения. Диагностируется болезнь в большинстве случаев у ВИЧ инфицированных, на поздних сроках протекания болезни. Места поражения саркомой: кисти рук, голени и стопы. Данное заболевание является следствием серьезных проблем с внутренними органами, ее невозможно вылечить, можно только немного медикаментозно снять выраженную симптоматику.
Саркома Капоши по статистике несет в себе многочисленные летальные исходы.
Липосаркома

Опухоль, которая возникает вследствие поражения жировой ткани. Это большой подкожный округлый нарост (единичный узел), может расти до 20 сантиметров. Сам по себе нарост неравномерный, с неправильными очертаниями. При прощупывании может быть твердым и упругим. Такой нарост зачастую возникает у людей возрастом за 50 лет и в основном у мужчин. Липосаркома возникает путем перерождения липомы или атеромы в злокачественную опухоль. Растет нарост очень медленно, метастазы во внутренние органы не распространяет.
Для лечения нужно прибегнуть к хирургическому вмешательству и комплексу химическо-лучевой терапии.
Фибросаркома

Новообразование развивающееся в соединительных мягких тканях. Чаще всего нарост поражает кожный покров нижних конечностей.
Фибросаркома может располагаться наружно или подкожно. Накожная выступает над кожным покровом, такой нарост имеет четко видимые границы и темный синий или коричневый оттенок.
Подкожная фибросаркома расположена глубоко под кожей и малозаметна. Видим только маленький венозный бугорок.
Фибросаркома растет медленно, не поражает метастазами внутренние органы. Но после удаления нароста практически всегда возникают рецидивы.
Антибиотики при болячках на голове. Как лечить перхоть и болячки на голове?
Шампуни
В состав шампуней против перхоти входят специальные моющие вещества, действие которых направлено на устранение ороговевших частей кожи, а также добавки, замедляющие образование новой перхоти .
Чаще всего в их составе отсутствуют отдушки, что обеспечивает максимальную мягкость и безопасность.
В настоящее время существует большое количество самых разных шампуней от перхоти, состав которых отличается.
Наличие в составе дусульфата селена, пиритиона цинка, клотримазола, кетоконазола способствует снижению количества микробов.
Некоторые из них создаются с учетом типа волос (жирные, сухие) и вида перхоти . Ихтиол и деготь нормализуют процесс клеточного обновления, шампуни с дегтем рекомендованы также пациентам с жирными волосами. Пиритион цинка помогает при лечении перхоти у пациентов с нормальными и сухими волосами.
Болячки на голове не чешутся. Последствия окрашивания волос
Очень часто после окрашивания волос появляются болячки. Факторами могут быть аллергическая реакция, краска пересушила эпидермис, перхоть и ранки.
Для терапии можно применить народные средства маски и отвары лекарственных трав. В аптеке можно найти противовоспалительные персиковое масло или жожобы и репейника, и обрабатывать эпидермис головы.
Как лечить на голове болячки после окрашивания:
- Размешать 2 яичных желтка и втирать в корни, оставить на 15 минут, затем промыть голову и волосы.
- Добавить 2 пилюли аспирина в моющее средство. Во время мытья волос держать моющее средство 20 минут.
- Пюре из свежих яблок поможет избавиться от перхоти. Натереть свежее яблоко на терке и втирать кашицу в кожный покров, оставить на 30 минут, затем смыть.
- 1 ст. л. коньяка, масла и какао порошка смешивают, наносят маску на 15 минут. Такая процедура устраняет зуд и шелушение.
- 5 мл чеснока смешать с маслом растительного происхождения 10 мл. Нанести на пораженные места и укутать целлофаном. Продолжительность процедуры около часа. Затем волосы помыть моющим средством с применением бальзама.
- Измельчить 250 г корня одуванчика и поместить в банку. Налить 0,5 водки, дают настояться 7 дней. Затем смачивают чистую ткань и прикладывают к голове на 10 минут. Процедуры делать до исчезновения болячек.
Если поставили диагноз лишай, то его невозможно вылечить одними народными средствами. Многие болячки на голове в волосах имеют внутренние причины. Поэтому необходимо проконсультироваться с врачом и сдать анализы. Невозможно лечить болезнь не зная причины.
Будьте здоровы!

Существует большое количество заболеваний, связанных с проблемами кожи и волос. “Болячки” на голове — не просто эстетическая неприятность.
В большинстве случаев они говорят о серьезных проблемах в организме. При отсутствии должного лечения дело не ограничивается обычным зудом. На волосистой части головы появляется сыпь, перхоть, засыхающие корочки, процесс может закончиться потерей волос.
Бугорки на коже головы. Виды прыщей
Всем знакомы образования, которые называют прыщами. Практически 100% подростков переживают тревожный и дискомфортный период, когда на лице или на другом участке тела возникают угри. Если в переходном возрасте это считается вариантом нормы, то взрослый человек должен быть обеспокоен тем, что на голове начали образовываться прыщи. Локализуются они зачастую в той части, где находятся волосы.
Стадия воспалительных прыщей имеет определённую симптоматику, когда человеку становится тяжело ухаживать за волосами, образования зудят, появляется незначительная боль. В этот период люди замечают изменения на коже головы и начинают искать причины проявившегося явления.
Прыщи могут быть разнообразными по внешнему признаку и доставлять больному различную симптоматику. В медицине принято подразделять весь период развития акне на несколько этапов, в основе которых лежит разновидность образований. Существует несколько основных типов угревой сыпи:
- Камедоны. Они, как правило, не доставляют человеку большого дискомфорта и не приносят болевого синдрома. Образуются в результате закупорки пор кожи из-за чрезмерного воздействия сальных желёз или грязи. На коже головы, где имеются волосы, распознать их затруднительно. Бывают наружные и внутренние (подкожные) камедоны. Первые возможно распознать при тщательном осмотре, вторые могут только прощупываться, так как не выдают себя никакими внешними проявлениями.
- Прыщи, сопровождающиеся воспалительным процессом. Это вторая стадия развития, когда камедоны воспаляются и переходят в прыщи с характерными проявлениями недуга. У больного появляются на голове красные шишки с центральной белой частью, которые постоянно чешутся.
Интересный факт! Камедоны не голове не всегда могут переходить в стадию прыщей. Для этого необходимо воздействие определённых внешних или внутренних факторов, например, сбой в иммунной системе, простуда, гормональные нарушения, банальное несоблюдение личной гигиены.
- Жировики – это образования, которые не всегда в медицине относят к проявлению прыщей. Они схожи с камедонами, но в отличие от них сидят глубоко под кожей головы, а не только в её части, как при угрях. Жировики так же необходимо лечить вовремя, чтобы они не способствовали развитию воспалительного процесса по всей голове.
- Прыщи вирусного генеза. Из названия данного вида понятно, что такая сыпь способна появляться в результате вирусной инфекции. Такой вид угрей всегда сопровождается дополнительной симптоматикой. У человека появляется общая слабость, недомогания. Незначительно повышение температуры и т.д.
Гнойные прыщи. Не стоит относиться снисходительно к проявлению воспалительных шишек, так как при непринятых своевременно мерах они могут перерасти в гнойные образования. Причиной появления таких прыщей становится только игнорирование терапии, которая могла бы предупредить появление гнойника. Изначально на красной шишке в центре возникает белая головка, со временем она заполняет всё пространство и в результате на коже образуется большое гнойное пятно с выпяченной поверхностью.