Противоотечные препараты для лица после удаления зуба. Когда отек – повод для визита к врачу
- Противоотечные препараты для лица после удаления зуба. Когда отек – повод для визита к врачу
- Противоотечные препараты для лица. Основной состав препаратов от отеков на лице
- Противоотечные препараты для лица после блефаропластики. Реабилитационный период после блефаропластики
- Противоотечные препараты для лица после травмы. Фармакологические группы противоотечных препаратов
- Противоотечные препараты для лица от аллергии. Перечень и характеристика антигистаминов при кожной аллергии
- Противоотечные препараты для лица после удаления. Медикаментозные методы лечения
- Противоотечные средства для лица после операции. Внимание
- Противоотечный крем для лица. Свойства гепариновой мази против отеков
- Противоотечные препараты для горла. Лекарственное лечение
Противоотечные препараты для лица после удаления зуба. Когда отек – повод для визита к врачу
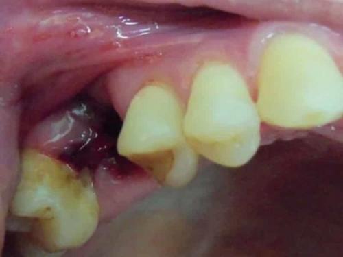
- Альвеолит – самое распространенное осложнение после удаления зуба. Происходит вследствие попадания инфекции в травмированную ткань зубной лунки. Чаще всего образуется на фоне воспалительных процессов, которые сопутствуют удалению – периодонтиту, стоматиту и другим. В случае постоперационного альвеолита необходимо обращение к врачу, поскольку отечность будет только увеличиваться, и может сопровождаться другими симптомами инфицирования.

Альвеолит после удаления зуба
- Удаление на фоне гнойного процесса. В этом случае сначала приходится разрезать десну для истекания гноя. В ходе операции хирург не может увидеть, полностью ли удалены поврежденные ткани. Часто в ране остаются межкорневые перегородки, может остаться фрагмент верхушки корня или осколок зубной ткани. В этом случае отек также является следствием воспалительного процесса, который будет прогрессировать до тех пор, пока врач не проведет повторную очистку раны. Снимать отек самостоятельно не стоит, поскольку средства, помогающие избавиться от физиологического отека, здесь не помогут. К тому же понадобится прием антибиотиков для купирования воспаления.

Удаление гноя из десны
- Инфицирование сухой лунки. Воспаление в ране может развиться из-за того, что, вследствие чрезмерно активного ухода за зубами, лунка пациента лишается защитного кровяного сгустка. Внутрь проникает инфекция, которая вызывает воспаление и отек, и может привести к образованию флюса. Здесь помочь может только врач, обработав рану специальным составом.

Синдром сухой лунки после удаления зуба
- Недостаточная санитарная обработка. То есть инфекция занесена в рану непосредственно во время операции, поскольку врач неправильно обработал рану. Поможет только повторная чистка.

Недостаточная санитарная обработка инструментов
- Фрагментированные остатки. Мифы о том, что хирург забыл внутри пациента ножницы или какой-либо инструмент во время операции на теле, к сожалению, не беспочвенны. В ране от зуба трудно что-нибудь забыть, но возможно неполное удаление, когда в десневой ткани остается патогенный фрагмент, начинает загнивать и вызывает воспаление. Здесь тоже показана чистка и повторная санация в клинических условиях.

Неполное удаление зуба, остались осколки
- Корневая киста. Она может присутствовать у корней проблемного зуба, подлежащего экстракции, а может образоваться после операции. В любом случае в пустотах возле корня, образованных некротическими тканями, собирается гной. Кисту необходимо удалять, полость санировать.

Противоотечные препараты для лица. Основной состав препаратов от отеков на лице
Противоотечные препараты для лица работают за счет мочегонного действия, либо благодаря способности локально притягивать и выводить излишки жидкости. Препараты-диуретики имеют разный химический состав. Они увеличивают скорость образования мочи или влияют на способность почек задерживать воду и соли.
Если отеки вызваны аллергией, применяются антигистаминные средства – они блокируют рецепторы, ответственные за развитие аллергической реакции.
По тому же принципу работают средства от отеков, вызванных укусом насекомых, дерматитов, крапивницы. Косметические средства от отеков часто имеют в составе различные растительные экстракты: петрушки, зверобоя и т.д. Эти травы имеют свойство притягивать излишки воды и часто используются для создания примочек и компрессов для глаз.
Вытягивает лишнюю жидкость косметика с экстрактами морских растений. В составе средств присутствует большое количество морской соли, которая притягивает молекулы воды. По тому же принципу работают солевые ванны и обертывания.

Чаще всего это водоросли: ламинария, нори, бурые. Отдельно выделяют альгинатные маски, которые часто применяются в косметологических кабинетах. Они сделаны на основе альгиновой кислоты, полученной из водорослей. В составе маски могут присутствовать такие компоненты, как коллаген, жемчужный порошок, экстракт алое, активированный уголь.
Изначально маски находятся в порошкообразном состоянии. Для применения их необходимо развести в теплой воде, нанести массу косметической лопаточкой на все лицо и дождаться, когда маска застынет. Через 20 мин. она снимается цельным пластом по направлению снизу-вверх.
Противоотечные препараты для лица после блефаропластики. Реабилитационный период после блефаропластики
Сразу после операции зона, которая подверглась манипуляциям, крайне ослаблена, что говорит о ее восприимчивости к окружающей среде. На протяжении нескольких дней сохраняется максимальный риск попадания различных микробов в раны, которые ещё не успели полностью зажить. Врачи рекомендуют отказаться от косметических процедур и даже от умывания, чтобы не допустить инфекционного заражения, а также исключить вероятность увеличения отеков. Если за 72 часа не возникло осложнений, умывание может вернуться в список ежедневных процедур, при этом необходимо избегать попадания воды непосредственно в глаза.

Каждая операция неизбежно подразумевает определенный период восстановления организма; в случае с блефаропластикой его продолжительность составляет порядка 14 дней. Вы можете самостоятельно ускорить этот процесс — для этого вам необходимо строго следовать врачебным рекомендациям:
- сказать «нет» вредным привычкам. Не готовы предпринять радикальные изменения и исключить курение и алкогольные напитки из повседневной жизни? Откажитесь от них хотя бы на время реабилитации.
- покой — эмоциональный и, конечно же, физический; отказ от изнуряющих нагрузок и занятий спортом, а в течение первого и второго дня – ещё и полноценный постельный режим. Противопоказаны даже быстрые движения головой; наклоны вниз легко могут вызвать увеличение глазного давления, а это имеет пагубные последствия после блефаропластики. Универсальное решение — попросить родных или близких людей оказать содействие с домашними делами. Всевозможные стрессы и психологические напряжения становятся врагами номер один. Книги на время отправляются обратно на полку, а на замену приходит прослушивание аудиокниг или музыки.
- чтобы уберечь глаза от попадания инфекции, на время придётся забыть любимые водные процедуры – горячие ванны и походы в баню. Уместным будет лишь непродолжительный тёплый душ.
- поскольку речь идёт об операции в области глаз, они становятся крайне уязвимыми и восприимчивыми; очки с защитой от ультрафиолетового излучения окажутся незаменимыми в этой ситуации (только воздержитесь от желания купить дешёвые очки от неизвестных производителей, какими бы привлекательными они не были – с ними можно легко получить тяжёлый ожог сетчатки!), а отказ от телевизора и компьютера подарит вашим глазам столь необходимый двухнедельный отдых. В течение двух недель не следует использовать линзы.
Противоотечные препараты для лица после травмы. Фармакологические группы противоотечных препаратов
Местное лечение отеков определяется в соответствии с причиной их возникновения. Применяются препараты следующих групп:
- Антикоагулянты – ингибиторы тромбина, способствуют замедлению образования тромбов, улучшению кровотока. Местные препараты быстро проникают в организм, метаболизм происходит в печени, выводится активное вещество через почки.
- Нестероидные противовоспалительные средства – механизм их действия основывается на блокировании ферментов, отвечающих за возникновение воспаления, боли, лихорадки (циклооксигеназы). Активное вещество быстро проникает к источнику патологических изменений, метабилизируется в печени, выводится посредством почек.
Оказываемое действие
Эффективность мазей, предназначенных для купирования отеков, зависит правильного выбора группы препаратов. Местные средства могут оказывать следующие действия:
- При отеках, связанных с нарушением работы сосудов:
- нормализовывать процесс кровообращения;
- улучшать лимфоток (лимфодренажное воздействие);
- иметь охлаждающий эффект;
- способствовать регенерации тканей.
- При отечности, вызванной воспалениями, травмами:
- снимать боль;
- уменьшать воспаления.
Местные средства от отеков могут содержать в составе гепарин, диклофенак, конский каштан, бадягу, троксерутин, окопник, ибупрофен. Существуют универсальные препараты, обладающие комплексным воздействием. Такие средства содержат прямые антикоагулянты и противовоспалительные компоненты.
Противоотечные препараты для лица от аллергии. Перечень и характеристика антигистаминов при кожной аллергии

Противоаллергические препараты – основной элемент лечения при любой форме негативной реакции на раздражитель. При слабой симптоматике достаточно современных составов с пролонгированным эффектом, деликатным воздействием, практически полным отсутствием отрицательных признаков во время лечения. При острой форме аллергической реакции, развитии отёков в зоне гортани, нёба, лица нужны более токсичные, но быстродействующие средства 1 поколения для купирования признаков, угрожающих жизни.
Антигистаминные составы устраняют кожные признаки псевдоаллергии и острого иммунного ответа:
- зуд;
- покраснение тканей;
- отёчность любой степени;
- высыпания на лице и теле.
Классические препараты и современные лекарства от аллергии также:
- предупреждают отёчность гортани;
- не дают развиваться бронхоспазму;
- нормализуют давление;
- предупреждают нарушение дыхания;
- прекращается слезотечение, ринорея, краснота век и конъюнктивы;
- исчезает аллергический кашель, чихание;
- температура при аллергии возвращается к оптимальным показателям.
Форма выпуска

Антигистаминные препараты после проникновения в организм купируют не только внешние проявления аллергической реакции, но и подавляют процессы, провоцирующие кожные признаки, слезотечение, аллергический кашель, ринорею, бронхоспазм. По этой причине большинство лекарств фармацевтические компании предлагают в форме для перорального приёма, для наружного нанесения – минимум наименований.
Антигистаминные препараты поступают в аптечные сети в следующем виде:
- лечебные сиропы;
- таблетки;
- капли для перорального приёма;
- растворы для инъекций;
- противоаллергические гели.
Взрослым подходят все формы антигистаминных составов, детям до двух лет – только гель и капли Фенистил, с двух или четырёх лет разрешены некоторые сиропы. Противоаллергические антигистаминные препараты для детей разрешены после 6 или 12 лет (в зависимости от действующего вещества), исключение – Супрастин. Уколы при аллергии помогают при генерализованной крапивнице, анафилактическом шоке, ангионевротическом отёке, когда симптоматика опасна для жизни.
Противоотечные препараты для лица после удаления. Медикаментозные методы лечения
Если самостоятельно отек не проходит в течение нескольких дней, или к нему присоединяются признаки воспаления, следует обратиться к врачам. В некоторых случаях требуется назначение дополнительных процедур: массаж, выполнение специальных упражнений.
С инфекционными процессами справляются с помощью антибиотиков (инъекции, капельное введение), в редких случаях — гормональной терапией.
Но чаще всего врачи, решая проблему послеоперационного отека лица и как его устранить, прибегают к назначению мочегонных препаратов. Нормализуя баланс кислот и щелочей в организме, такие препараты быстро выводят избыток застойной жидкости из тканей, способствуя снятию отеков.
Мочегонных лекарств, которые могут применяться в качестве противоотечных препаратов для лица после операции , существует достаточно. Главная задача врача — выбрать тот, который не повредит пациенту, с учетом имеющихся у него заболеваний и противопоказаний.
Одним из старых, проверенных средств является Фуросемид. Он характеризуется сильным и быстрым действием. Обычно достаточно одноразового приема в дозировке, назначенной врачом, чтобы снять отеки. Действие таблетки начинается уже спустя 20 минут и продолжается до нескольких часов.
Фуросемид хорошо подходит больным с гипертонией, но обладает рядом противопоказаний к применению (почечная недостаточность, гипогликемия и др.). Более мягким действием и умеренным списком противопоказаний обладает аналог Фуросемида — Торасемид.
Хорошо переносится пациентами Спиронолактон. Он действует щадящим образом, по сравнению с Фуросемидом, имеет сравнительно немного противопоказаний. Принимать Спиронолактон можно даже беременным женщинам, лицам с заболеваниями сердца, почечной патологией.
Список противоотечных мочегонных лекарств очень обширен, но выбор и назначение их стоит оставить за врачом. Чтобы не провоцировать осложнения в послеоперационном периоде, самолечением заниматься нельзя.
Противоотечные средства для лица после операции. Внимание
После операции на определенном участке лица проявляется скапливание лимфы в месте поврежденных тканей. Такие скопления, в свою очередь, появляются из-за усиленной работы иммунной системы, которая пытается обеспечить нормальное функционирование и полноценную деятельность организма, несмотря на недавнее хирургическое вмешательство.
Еще одной причиной появления отека на лице после операции может послужить процесс воспалительного характера.
Воспалительный процесс может возникнуть вследствие несоблюдения рекомендаций врача пациентом, а также в результате внешних факторов, к примеру, заболевание простудой или воздействие ветра на лицо. В таких случаях у пациента проявляется повышенная температура кожного покрова лица и покраснения.
После операции отек на лице проявляется почти всегда, только у каждого пациента он имеет ту или иную форму степень.
Основными факторами, которые влияют на степень отечности, являются:
- индивидуальные характерные отличия организма пациента;
- состояние и функционирование иммунной системы;
- придерживание или несоблюдение рекомендационных предписаний врача;
- общее состояние здоровья;
- образ жизни пациента.
В большинстве случаев быстрое избавление от отеков на лице после операции зависит, в основном, от приложенных усилий пациента, а также точного соблюдения рекомендаций для реабилитационного периода. В случае достаточно длительного времени наличия отечности и отсутствия проявления малейших признаков ее уменьшения, следует немедленно обратиться к опытному врачу.
Как правило, отек начинает проявляться «во всей своей красе» на второй или третий день после проведения операции.
Уже через несколько дней при условиях правильного ухода, отечность существенно уменьшится, а ко второй неделе после хирургического вмешательства отек и вовсе исчезнет. Но, большинство пациентов зачастую интересуются самыми эффективными методами для избавления от отека после операции на лице.
Противоотечный крем для лица. Свойства гепариновой мази против отеков
Одним из проверенных десятилетиями средством против отеков на лице является всем известная гепариновая мазь. Этот препарат способен оказывать благотворное влияние на состояние кровеносных сосудов. В косметологии использование гепариновой мази достаточно широко: ее применяют при отеках, как средство от синяков и сильных гематом.
Гепариновая мазь состоит из следующих активных веществ:
- гепарина – этот компонент оказывает влияние на уменьшение свертываемости крови и на растворение имеющихся сгустков крови;
- анестезина – обезболивающее вещество;
- безилникотината — уменьшающего образование тромбов и способствующего активному всасыванию гепарина.
Наличие перечисленных компонентов оказывает мощное противоотечное действие. А также мазь широко применяется в качестве противовоспалительного, анестезирующего и сосудорасширяющего средства.
При намерении начать использовать гепариновую мазь против отеков нужно помнить о некоторых противопоказаниях. Средство запрещено к применению:
- при гемофилии;
- при выявленном пониженном содержании тромбоцитов в крови;
- в период вынашивания ребенка и кормления грудью;
- при наличии гнойных открытых ран;
- при индивидуальной непереносимости веществ, входящих в состав мази.

Вышеперечисленные противопоказания не предполагают использовать средство людям, находящимся в зоне риска. Если после нанесения средства на коже лица появляется покраснение, использование мази нужно срочно прекратить.
Для лечения отеков на лице мазь наносят тонким слоем на проблемные участки лица. Используют средство в течение от 2-3 недель. Затем нужно сделать небольшой перерыв.
Противоотечные препараты для горла. Лекарственное лечение
Устранение отека горла на ранних стадиях, позволяет предупредить развитие серьезных осложнений, но затрудняет его дифференцирование. Лекарства используются для восстановления нормального дыхания и облегчения болезненной симптоматики. Для этого применяют такие средства: диуретики быстрого действия, транквилизаторы, горчичники на икры ног и горячие ножные ванны, седативные и антигистаминные препараты.
- Пенициллин
Антимикробное средство бактерицидного и бактериостатического действия. Активно в отношении грамположительных и грамотрицательных бактерий, анаэробных микроорганизмов. Выпускается в форме инъекций и таблеток для рассасывания и перорального применения. Эффективным методом применения лекарства, является его внутримышечное введение. Действующее вещество быстро попадает в кровь и распределяется по всему организму. При пероральном применении антибиотик плохо всасывается, так как часть его разрушается под влиянием желудочного сока.
- Показания к применению: лечение заболеваний, вызванных чувствительными к лекарству микроорганизмами, пневмония, сепсис, менингит, инфекции мочевыводящих и желчных путей. Эмпиема плевры, ангина, скарлатина, дифтерия, гнойные инфекционные поражения слизистой и кожи, гинекологические и офтальмологические болезни, гонорея, сифилис, ЛОР-заболевания.
- Способ применения и дозировка зависят от формы выпуска и показаний к применению. Инъекции вводят внутривенно, внутримышечно и в спинномозговой канал. Для эффективной терапии дозировка рассчитывается на 1 мл крови 0,1–0,3 ЕД пенициллина. Лекарство вводят каждые 3-4 часа. Таблетки, как правило, принимают по 250-500 мг через каждые 8 часов, максимальная суточная доза 750 мг.
- Противопоказано использовать при высокой чувствительности к пенициллинам. Не назначают для пациентов с бронхиальной астмой, аллергическими заболеваниями, крапивницей, поллинозом.
- Побочные действия проявляются в виде аллергических реакций, нарушений ЖКТ, кандидоза влагалища и ротовой полости, мышечных спазмов конечностей и анафилактического шока. Если средство используется в период беременности, то есть вероятность сенсибилизации плода. В случае передозировки появляется тошнота, рвота и диарея. Если лекарство принимают пациенты с почечной недостаточностью, то есть риск развития гиперкалиемии.





