Вросшие волосы после эпиляции на ногах, как избавиться в домашних условиях. Вросшие волосы на ногах после эпиляции
- Вросшие волосы после эпиляции на ногах, как избавиться в домашних условиях. Вросшие волосы на ногах после эпиляции
- Как избавиться от вросших волос в зоне бикини после эпиляции. Что нельзя делать, если образовалась шишка
- Как избавиться от вросших волос после эпиляции в домашних условиях. Методы удаления вросших волос
- Видео Как избавиться от вросших волос после эпиляции – Все буде
- Вросшие волосы после эпиляции, как избавиться в домашних условиях. Удаление вросших волос
- Как избавиться от вросших волос на ногах после эпиляции. Как избавиться от вросших волос на ногах
- Вросшие волосы после эпиляции, как избавиться в домашних. Почему после эпиляции врастают волосы?
- Как избавиться от вросших волос после эпиляции. Является ли эпиляция причиной врастания волос?
- Как избавиться от вросших волос. Почему врастают волосы?
- Депиляция в домашних условиях
- Неподготовленная кожа перед проведением депиляции и после нее
- Неправильная техника сбривания
- Гиперкератоз
- Ношение слишком плотной и узкой одежды
- После шугаринга вросли волосы на ногах. Отзывы о том, как бороться с вросшими волосами после шугаринга
Вросшие волосы после эпиляции на ногах, как избавиться в домашних условиях. Вросшие волосы на ногах после эпиляции
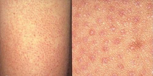
Вросшие волоски на ногах – частая проблема. Обычно она появляется после эпиляции. Причем с ней сталкиваются не только женщины, но мужчины. Бороться с этим можно разными способами как в домашних условиях, так и в салоне. Прежде чем ознакомиться, как избавиться от вросших волос на ногах, необходимо ознакомиться с причинами явления.
Причины
Статистика гласит, что пятая часть европейцев сталкивается с такой проблемой. Просто не все воспринимают проблему всерьез. А в некоторых местах она может быть не видна. Но это происходит до тех пор, пока не появилось воспаление.
Вросшие волосы могут появляться как после эпиляции, так и до нее. Эпиляцией называется процедура, при которой волоски устраняются с корнями. В результате происходит ослабление волосяных луковиц, и волоски становятся тонкими. Они не могут прорасти через кожу, но все же продолжают расти. В коже они воспринимаются как инородные частицы, из-за чего происходит воспаление фолликул.
Депиляция, которая предполагает сбривание волосков с помощью крема или станка, обладает травмирующим действием. Кожа приобретает сухость. У волоска есть кончик, из-за которого происходит рост. А так как он не может пройти через кожу, то начинается его врастание внутрь. Есть несколько типов людей, которые подвергаются появлению врастания:
- при вьющихся и тонких волосах,
- при сухой коже,
- неправильный рост волос,
- наличие стафилококка.
Домашние процедуры
Бороться с вросшими волосками после эпиляции не так просто. Это связано с чувствительностью кожи. Также есть вероятность появления царапин, которые могут стать шрамами. Тем более что необходимо некоторое время ходить с пластырями.
Если после эпиляции были обнаруженные вросшие волосы, не стоит расстраиваться. Необходимо пока не выполнять эпиляцию и бритье, поскольку так кожа станет травмированной. Не нужно применять для решения проблемы иглу, спирт или пинцет. Какое бы дезинфицирующее средство ни использовалось, все равно есть вероятность занесения инфекции.
Как избавиться от вросших волос в зоне бикини после эпиляции. Что нельзя делать, если образовалась шишка
Заметив шишки после эпиляции зоны бикини, многие женщины пробуют вывести их самостоятельно подручными средствами. Начитавшись отзывов о том, как избавиться от вросшего волоса и шишки в интимной области в домашних условиях, человек способен как помочь себе, так и усугубить проблему.
Самостоятельно ковырять выпуклость и извлекать вросший волос без врачебной консультации нельзя. Любое неправильное действие обывателя чревато распространением воспалительного процесса в глубинные слои эпидермальной структуры, и тогда бугорок будет вырезать хирург.

Ошибки, которые часто допускают женщины и мужчины при развитии постэпиляционного воспаления:
- Обработка кожи, окружающей вросшие волосы, кремом для депиляции.
- Выдавливание папул руками с попыткой извлечь гнойное содержимое.
- Пренебрежение проблемой и использование метода удаления волос, который постоянно приводит к их врастанию.
- Удаление волос под шишками нестерильными принадлежностями.
- Нежелание тратить время на обработку депилируемой поверхности антисептиками.
Всё это приводит к постепенному увеличению численности бугорков и усиленному развитию воспалительного процесса. При первых признаках псевдофолликулита в зоне бикини врачи рекомендуют сразу обращаться в клинику. Иначе покрасневшая выпуклость станет причиной гнойничкового поражения кожи и сепсиса – заражения крови.
Как избавиться от вросших волос после эпиляции в домашних условиях. Методы удаления вросших волос
Эту проблему легко устраняют в косметологических кабинетах с помощью специального оборудования. Но как удалить вросший волос в домашних условиях? Далеко не у всех есть возможность посещать салоны красоты.
Исходя из того, насколько глубоко врос волос в кожу, зависит решение проблемы.
- Если воспалительный процесс еще не начался и волоски расположены неглубоко, можно сделать пилинг, предварительно распарив кожу. Если не получится сразу освободить волосы, то удастся значительно «открыть им дорогу». После пилинга необходимо смягчить кожу лосьоном. Процедуру можно проводить ежедневно. В качестве скраба подойдет кофе или морская соль.
- Если присутствует воспаление, сначала нужно снять его с помощью антибактериальных средств, таких как фурацилин, Мирамистин, настойка календулы или противоугревых средств. Когда воспалительный процесс будет снят, можно провести пилинг.
- Если имеются покраснение и уплотнение, это показатель того, что волос расположен довольно глубоко. Тогда необходим механический способ удаления. Важно знать, как вытащить вросший волос, при этом не разнести инфекцию и не причинить вреда здоровью.
Понадобятся игла или пинцет. Предварительно их нужно простерилизовать дезинфицирующим веществом. Место вокруг гнойничка тоже необходимо обработать спиртом.
Перед удалением волоса необходимо приложить теплый компресс на несколько минут, так как достать его из распаренной кожи значительно легче.
Если волос виден на поверхности, то его можно выдернуть при помощи пинцета. Но если он расположен глубоко, то придется воспользоваться иглой. Завершив процедуру, место удаления нужно обработать антисептиком, а затем приложить холод.
Видео Как избавиться от вросших волос после эпиляции – Все буде
Вросшие волосы после эпиляции, как избавиться в домашних условиях. Удаление вросших волос
Вросшие волосы часто являются следствием неправильно проведенной эпиляции или бритья, когда часть их загибается либо ломается, а в дальнейшем прорастает под кожу. Эта проблема волнует и мужчин, и женщин, поэтому профилактике и удалению вросших волос косметологи уделяют много внимания.
Иногда врастание провоцирует длительная эпиляция воском, эпиляторами или сахарной пастой, а также выщипывание пинцетом. Чаще всего от врастания страдают места с более жесткими волосами:
- у женщин – зона бикини, подмышки и ноги;
- у мужчин – борода и шея.
Проблемы начинаются вместе с половой зрелостью. Более склонны к врастанию брюнеты и брюнетки с жесткими, курчавыми волосами. Светловолосые реже сталкиваются с подобными неприятностями.
Как избавиться от вросших волос? Проще всего справиться с проблемной «растительностью» на лице. Ее устраняют надавливанием или поддевая стерильной иголкой. Впрочем, специалисты не рекомендуют применять надавливание, чтобы не усложнить ситуацию.
Но бывает глубокое врастание, когда воспалившегося волоска не видно, и его следует принудить к выходу наружу. Для этого несколько дней подряд делают примочки, а потом применяют скраб и жесткую мочалку. Возможно появление гноя. Если он остается в коже и с этим нельзя справиться самостоятельно, то следует обратиться за помощью к дерматологу или косметологу.
Как избавиться от вросших волос на ногах после эпиляции. Как избавиться от вросших волос на ногах
Явление, при котором образуются вросшие волоски на верхних слоях эпидермиса, вызывает не только неприятные ощущения, но и способствует развитию раздражений и воспалений. Врастающие волосы на ногах образуются по причине неправильного проведения процедуры депиляции. Вросшие волосы образуются после того, как оставшаяся его часть после депиляции начинает свой рост. Только рост происходит не в вертикальном направлении, а в противоположном от необходимого, поэтому и возникает такое явление, как врастание волос. Как избавиться от вросших волос на ногах, основные причины возникновения такого явления и способы профилактики для исключения развития проблемы.

Причины врастания волосков на ногах
Вросшие волосы на ногах могут образоваться на любой их части кожного покрова. К основополагающим причинам развития такой проблемы относятся :
- Структура волос. Если у человека волосы на ногах черного цвета, имеют вьющуюся структуру и жесткость, то развитие проблемы их врастания после бритья очень велико.
- Плотные слои эпидермиса. Если человек имеет плотный эпидермальный слой, то вырастающим волоскам довольно сложно пробить путь наружу, поэтому и возникает явление их врастания.
- Гормональные сбои. Причиной негативного явления выступает и повышение уровня гормона эстрогена, который вырабатывается в больших количествах во время полового созревания и менструального цикла.
- При неправильной подготовке эпидермиса к депиляции. Перед удалением волос важную роль играет предварительная подготовка эпидермиса к этому процессу. К подготовке относится процесс отшелушивания ороговевших слоев эпидермиса, что осуществляется при помощи различных скрабов.
- При неправильном использовании инструментов для депиляции. Если для бритья волос на ногах использовать бритвы с затупленными лезвиями, то это непременно станет основной причиной их врастания в кожу. Во время бритья затупленные лезвия плохо справляются со своей основной задачей, поэтому для тщательного удаления волос приходится станком проводить по одному участку более 2 раз. Это приводит к тому, что на коже появляются раздражения с дальнейшим переходом в воспалительный процесс.
- Ненадлежащий уход за кожей после удаления волос. После очистки кожи от избыточных волос, требуется обязательно воспользоваться специальными препаратами для увлажнения и дезинфекции. Если не обработать кожу, то в верхние слои эпидермиса будут попадать бактерии, и провоцировать развитие воспалительного процесса. Именно посредством воспалительных процессов на коже образовываются такие последствия, как врастающие волоски.
- Неправильный выбор одежды. После бритья волос на ногах важно уделить особое внимание одежде. Если носить облегающие виды одежды, то непременно это будет способствовать врастанию волос в кожу. Ходить в свободной одежде необходимо не только после процедуры депиляции, но и постоянно, чтобы кожа могла дышать.
Вросшие волосы после эпиляции, как избавиться в домашних. Почему после эпиляции врастают волосы?
Прежде чем устранять проблему вросших волос, надо понять, почему они вообще появляются. Таких причин довольно много. Вот основные из них:
- Вам не подходит способ эпиляции, которым вы пользуетесь;

- Вы не правильно проводите процесс эпиляции (не подготавливаете кожу, используете тупое лезвие), вследствие чего неудачно обламывается волосок или повреждается волосяной канал;
- Вы пренебрегаете уходом за своей кожей после эпиляции (не пользуетесь кремами и прочими средствами, снимающими раздражение);
- Во время эпиляции вы травмируете кожу – это приводит к образованию рубца в месте волосяного канала;
- У вас очень плотный верхний слой дермы, через который волосу сложно пробиться;
- Вы испытываете гормональные проблемы: как временные – беременность, менструация, так и постоянные – нарушения в работе гормональной системы;
- Вы носите неудобное белье, если оно еще и синтетическое, то ситуация осложняется вдвойне – влага не может испариться с поверхности кожи, развивается инфекция.
Врастающий волос может выглядеть по-разному – это зависит от того, как он растет:
- После эпиляции волосок может загнуться, пробить кожу на соседнем участке и начать расти внутрь;
- Если волосок неудачно оборвался ниже слоя эпидермиса, то он может сменить направление роста и начать расти в бок;
- Когда слабый волос не может пробраться вверх через слои дермы, он просто остается сидеть внутри, а снаружи на коже образуется бугорок, который начинает воспаляться и гноиться.

Кстати, у людей с темными волосами проблема врастания встречается чаще. Причина проста: темные волосы более жесткие и растут более интенсивно.
Как избежать подобных проблем? На самом деле здесь три основных пути:
- Обратиться к косметологу и попробовать другой способ эпиляции;
- Научиться правильно делать эпиляцию и осуществлять специальный уход за своей кожей;
- Обратиться к врачу (эндокринологу, дерматологу) в случае серьезных проблем со здоровьем.
Как избавиться от вросших волос после эпиляции. Является ли эпиляция причиной врастания волос?

Разберем более подробно влияние разных видов удаления волос на появление данной проблемы.
Основной причиной обычно становится эпиляция. Чтобы понять, почему врастают волосы после эпиляции, нужно понять механизм ее действия.
Во время нее происходит разрушение волосяного фолликула. Но это не застрахует от последующего роста. Он возобновится, но волос будет более слабым. Часто такому ослабленному волоску пробиться через слои эпидермиса очень сложно, и он начинает расти горизонтально, то есть под кожу.
Проблема может возникнуть даже после профессионального удаления волос в салоне. Косметологи полагают, что волосы врастают в кожу после эпиляции из-за большого количества чешуек эпидермального слоя.
С эпиляцией разобрались. Но ведь и депиляция воском не дает гарантии избежать этой неприятной проблемы. Хотя после нее волос удаляется только с поверхности, оставляя в коже волосяную луковицу.
При неудачном ее проведении некоторые волоски согнуться или сломаться. Это вызывает воспалительный процесс, а в дальнейшем ведет к неправильному росту волоса. Теперь становится понятно, почему врастают волосы после депиляции.
Воспаление волоса, находящегося глубоко под кожей, может длиться очень долго. Вросшие волоски образуют гнойнички.
Бритье станком не всегда является лучшим выходом. Особенно если оно проводится неправильно: против направления роста волос или используется старый станок.
Принцип действия бритья подобен восковой депиляции. Постараемся объяснить, почему врастают волосы после бритья. Некоторые девушки, стремясь к совершенству, бреют ноги практически ежедневно, не давая волоскам восстановить свой рост.
При этом волосяная луковица устает, а волос истончается и теряет способность расти в правильном направлении.
Все это не означает, что нужно перестать бриться и начать постепенно превращаться в человекообразную обезьяну.
Если после привычного способа регулярно появляются вросшие волосы, то нужно попробовать другой вариант. Иногда достаточно сменить бритвенный станок на воск или другие методы.
Нет единственного правильного решения. Для каждого типа кожи надо искать индивидуальный подход.
Поэкспериментировав, возможно, удастся найти подходящий способ депиляции.
Если подобная проблема возникает, то ее нельзя оставлять без внимания. Приведем несколько способов, как бороться с вросшими волосами.
Как избавиться от вросших волос. Почему врастают волосы?
Вросшие волосы в зоне бикини и в других местах появляются вследствие разных причин.
Депиляция в домашних условиях
Удаление волос бритвенным станком, электробритвой, разнообразными косметическими средствами для эпиляции приводит к тому, что удалить удается только выступающую над кожей часть волоса. Луковица же остается внутри. Каждый раз, при следующей депиляции волосы становятся более тонкими и слабыми, а вот кожа, наоборот, становится толще. Как следствие, ороговевший эпидермис постепенно начинает закрывать устья фолликулов . Тонкий волосок не может пробиться сквозь него, и начинает расти в направлении обратно. Уже через несколько дней после проведения эпиляции волоски снова пробиваются наружу.

Очень часто именно по этой причине отмечается врастание волос в зоне бикини, а иногда и появляется шишка на лобковой части у женщин вследствие такого врастания. Если беспокоит подобная проблема, лучше отказаться от депиляции такого типа и посоветоваться с косметологом, как убрать нежелательные волосы с помощью других способов. К примеру, иногда в таком случае подходит шугаринг , то есть удаление волос с помощью густой сахарной пасты.
Неподготовленная кожа перед проведением депиляции и после нее
Перед тем, как бороться с нежелательной растительностью, нужно обязательно нанести увлажняющие и смягчающие косметические средства для кожи и волос. Важно использовать и специальные средства для бритья. Ведь каждая эпиляция является стрессовой процедурой для кожи.
Неправильная техника сбривания
Если сбривать растительность против роста, применять затупленные лезвия или пытаться слишком тщательно все выбривать, можно спровоцировать псевдофолликулит. Поэтому перед тем, как избавиться от волос в зоне бикини и на других участках тела, нужно приобрести качественные приборы или средства для этой цели. Подобное происходит также при слишком частом бритье, сверхсильном натягивании кожных покровов и надавливании.
Гиперкератоз
Это довольно редкое явление, при котором ороговение ускоряется, и эпителий становится очень плотным и грубым. При таком состоянии волосяному стержню очень сложно пробиться наружу.
Ношение слишком плотной и узкой одежды
Часто человек отмечает, что вросший волос в зоне бикини стал шишкой, если у него есть привычка носить очень плотно прилегающее белье. В такой ситуации нужно выбирать более широкую и удобную одежду. Но если врос волос, появилась шишка, и это причиняет боль и дискомфорт, лучше обратиться к врачу за советом.
После шугаринга вросли волосы на ногах. Отзывы о том, как бороться с вросшими волосами после шугаринга
Девушки, которые столкнулись с этой проблемой, делятся своими методами борьбы и профилактики. Опытный косметолог с медицинским образованием комментирует правильность их действий и дает новые советы.
Илона, 26 лет
Перед поездкой на море проводила эпиляцию глубокого бикини в салоне воском. Моя мастер была в отпуске, и новая девочка-косметолог убедила меня, что воск намного эффективнее. Вросшие волосы в зоне бикини после шугаринга – это ничто по сравнению с тем, что я получила после восковой эпиляции. Хорошо, что сделала эпиляцию заранее, на протяжении недели у меня было жуткое покраснение, а потом начали появляться маленькие прыщики от вросших волосков. Но я уже стреляный воробей, и в аптечке у меня всегда припасена салициловая мазь. Она, как скорая помощь, снимает покраснение, и даже маленькие гнойнички пропадают.
Комментарий специалиста: Шугаринг обеспечивает более щадящую обработку, чем воск, так что ваша кожа могла отреагировать еще хуже. Вы правильно поступили, сделав эпиляцию заранее, потому что сразу после процедуры могут появиться пигментные пятна во время нахождения на солнце. А салициловая кислота сама по себе, как и мази на ее основе – прекрасное средство от вросших волос после шугаринга и метод борьбы с любыми закрытыми гнойничками на теле.
Ольга, 35 лет
Провожу шугаринг ног уже на протяжении нескольких лет. И не могу понять причин, но вросшие волоски то появляются, то исчезают на несколько месяцев. С теми же проблемами сталкивалась и при удалении волосков над верхней губой. Иногда воспаления такие, что тональный крем не спасает. Прыщики на ногах менее заметны, но я боюсь, что летом в ранки может попасть инфекция.
Комментарий специалиста: Возможно, проблема возникновения вросших волосков связана с вашим гормональным циклом, и вы попадаете на его разные фазы. Если вросшие волосы на ногах после шугаринга вас постоянно беспокоят, могу порекомендовать вам сервис для мамочек и будущих мамочек Babyblog. Именно там женщины без стеснения обсуждают свои проблемы и делятся советами по их устранению.
