На коже головы болячка. Причины появления
На коже головы болячка. Причины появления
Нарушения в работе органов человека не только сопровождаются болью, дискомфортом, но и отражаются внешне. Кожа лица и головы, волосы чутко реагируют на неприятные изменения и могут спрогнозировать серьезные заболевания.
На ранних стадиях болячки на коже головы определить сложно, многие не придают этому значения. Мелкая сыпь, незначительное уплотнение или краснота со временем переходят в более сложные формы, в итоге сильно чешется голова, и перхоть не дает покоя.
В случаях отсутствия соответствующей реакции начинается выделяться кровь с дальнейшим нагноением раны, выпадают волосы.
Внимание! Запрещается чесать болячки на голове, вы рискуете занести инфекцию и только усложните дальнейшее лечение.
Определить заболевание и причину его появления на коже головы сможет только специалист после детального осмотра. Поставив точный диагноз, назначается соответствующую терапию. Самолечение не гарантирует успешный исход, а в некоторых случаях чревато осложнениями недуга.
Сбои в работе организма, хронические заболевания внутренних органов являются основной причиной кожных проблем. Почему еще появляются болячки на голове:
- передаются от больного человека через расческу, одежду, прикосновением;
- активизируются при ослабленном иммунитете;
- после частых стрессов, переживаний и переутомления организма;
- как следствие аллергии на препарат, продукт, шампунь;
- при недостаточном, некачественном уходе за кожей головы;
- из-за нехватки витаминов, микроэлементов в организме;
- передаются по наследственности.
Болезненные бугорки на коже головы. Почему на голове может появиться шишка?
Шишка на голове способна появиться вследствие внешней травмы: от ушиба или укуса насекомого или внутренней: при липоме в виде жировика, остеоме, фурункулезе, катероме (образовании кисты), трихоэпителиоме, увеличении лимфоузлов.
- Травма. Шишка появляется на голове в виде гематомы со скоплением крови под кожей, болит при пальпации, приобретает сиреневый или баклажановый оттенок. Нужно лечить, вскрывать хирургическим путем, очищать рану от скопившейся крови и возможно гноя.
- Укус комара, пчел или ос. Возможно появление припухлости на голове, чувства жжения, боли, зуда, повышения температуры. Лечение заключается в обработке мест поражения, промывании антисептиками, наложении противоаллергических мазей (гелей). Нельзя расчесывать шишку. За помощью лучше сразу же обратиться в травмпункт, особенно если поднялась температура, одолевает сильный зуд.
- Атерома в виде новообразования с локализацией на голове вследствие недостаточного оттока секрета сальных желез, закупорки их, скопления плотной консистенции под покровом кожи. Требует удаления хирургическим путем, изучения материала на гистологию. Обычно это киста доброкачественной природы происхождения.
- Липома в виде жировика, плотная по консистенции доброкачественная опухоль. Обычно шишка не болит, особого дискомфорта не доставляет. Локализует лоб волосистую часть головы. Появляется в результате сбоя обмена веществ, патологии жировой ткани. Имеет наследственный характер происхождения, может перерождаться в липосаркому, уже злокачественное новообразование, требующее удаления лазером, путем проведения криодеструкции или хирургическим путем.
- Трихоэпителиома в виде доброкачественной опухоли на голове, носящей обычно наследственный характер. Может группироваться в виде куполовидных многочисленных мелких элементов на голове до 6мм в диаметре, разрастающихся со временем, как правило, не болезненных при пальпации. При лечении применим хирургический метод или электрокоагуляция.
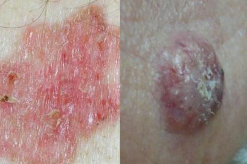
Маленькие бугорки на коже головы. Злокачественные
Данная категория новообразований на коже зачастую появляется путем перерождения доброкачественного нароста в злокачественный. Такие наросты требуют незамедлительного выявления и избавления от них.
Меланома

Новообразование возникающее вследствие некорректного удаления родинки (невуса) или ее перерождение в злокачественную форму. Меланома − разновидность рака кожи. Протекает заболевание очень агрессивно, быстро распространяется по кожному покрову. Такая опухоль очень скоро дает метастазы по всему организму, во внутренние органы и даже в головной мозг.
Если вовремя принять меры комплекса химическо-лучевой терапии, можно замедлить или избежать развития рака.
Базалиома

Плоскоклеточный рак кожи, который формируется из клеток базального слоя эпидермиса, в виде плоских поодиноких гнойных ранок. Маленькие узловые ранки-опухоли быстро прогрессируют и перерастают в грибовидные язвенные наросты. Чаще всего ранки появляются на лице, поражаются щеки, крылья носа, область за ушами и уши, нижнее веко. Данный вид рака не дает метастаз во внутренние органы и не сильно расходится по кожному покрову.
При своевременном выявлении, лечении или иссечении происходит полное удаление язвочек и регенерация кожи.
Саркома Капоши

Злокачественное новообразование на коже в виде обширных темных пятен (от цвета сгустков закипевшей крови до черного), которые сливаются в большие зоны поражения. Диагностируется болезнь в большинстве случаев у ВИЧ инфицированных, на поздних сроках протекания болезни. Места поражения саркомой: кисти рук, голени и стопы. Данное заболевание является следствием серьезных проблем с внутренними органами, ее невозможно вылечить, можно только немного медикаментозно снять выраженную симптоматику.
Саркома Капоши по статистике несет в себе многочисленные летальные исходы.
Липосаркома

Опухоль, которая возникает вследствие поражения жировой ткани. Это большой подкожный округлый нарост (единичный узел), может расти до 20 сантиметров. Сам по себе нарост неравномерный, с неправильными очертаниями. При прощупывании может быть твердым и упругим. Такой нарост зачастую возникает у людей возрастом за 50 лет и в основном у мужчин. Липосаркома возникает путем перерождения липомы или атеромы в злокачественную опухоль. Растет нарост очень медленно, метастазы во внутренние органы не распространяет.
Для лечения нужно прибегнуть к хирургическому вмешательству и комплексу химическо-лучевой терапии.
Фибросаркома

Новообразование развивающееся в соединительных мягких тканях. Чаще всего нарост поражает кожный покров нижних конечностей.
Фибросаркома может располагаться наружно или подкожно. Накожная выступает над кожным покровом, такой нарост имеет четко видимые границы и темный синий или коричневый оттенок.
Подкожная фибросаркома расположена глубоко под кожей и малозаметна. Видим только маленький венозный бугорок.
Фибросаркома растет медленно, не поражает метастазами внутренние органы. Но после удаления нароста практически всегда возникают рецидивы.